冬になると痛みが出やすい? 犬の骨・関節まわりに起こりやすい病気と見逃せないサインを解説
2026/01/12
犬の骨や関節まわりは、寒い冬に痛みが出やすくなる傾向があります。冬ならではの条件がきっかけで発症することもあり、しっかりと予防することが大切です。
今回は、日本大学動物病院院長の枝村一弥先生に、冬に注意したい骨・関節まわりの病気について教えていただきます。
犬も冬に痛みを感じやすい!

引用元:いぬのきもち投稿写真ギャラリー
犬は痛みを隠すといわれていますが、決して痛くないわけではありません。特に冬は、寒さや乾燥が原因で痛みを感じやすい時季。痛みを感じるとストレスや別の病気の引き金になることもあるので、冬に起きやすい病気・ケガを知って予防に努めましょう。
変形性脊椎症(へんけいせいせきついしょう)

主に加齢が原因で、背骨の間にある椎間板とその周辺の背骨が変形する病気です。隣り合う背骨同士が不安定になるとトゲのような骨ができてきて、最終的に背骨同士がくっついたような状態になります。シニア犬の半数近くが罹患しているという報告も。発症した背骨のまわりは寒さでこわばりやすく、急激に寒くなる晩秋~初冬は、より痛みを感じやすくなります。
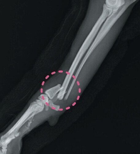
前十字靭帯断裂(ぜんじゅうじじんたいだんれつ)

ひざの中にある前十字靭帯が切れる病気で、痛みを伴います。季節を問わず発症しますが、急に冷えこむようになった時季にひざに負荷がかかるような運動をさせると、発症するリスクが一気に高まります。肥満や加齢でひざが弱くなっている犬は、特に注意が必要です。
冬の骨折・脱臼(だっきゅう)

骨折や脱臼は季節に関係なく起きますが、冬ならではの理由で発症するものもあります。発症すると多くの場合で激しい痛みを伴います。積雪や道の凍結のほか、来客が増える年末年始など、次のようなシチュエーションに注意してください。
- 体や足が深雪に埋もれた状態で走り回る
- 道の凍った部分を無理によけようとする
- 冬服を着せる際、袖や裾に無理な体勢で足を通す
- 来客や親戚など、家族以外の人が抱っこ中に誤って落とす
股関節形成不全(こかんせつけいせいふぜん)・膝蓋骨脱臼(しつがいこつだっきゅう)・大腿骨頭壊死症(だいたいこっとうえししょう)
寒さや乾燥とは別に、冬に子犬に見られやすいのが、これらの痛みを伴う関節の病気。いずれも遺伝的・先天的なことが原因で生じる場合が多いのですが、春頃に生まれた犬が初めて発症しやすいのが、生後5~9カ月を迎える晩秋から冬にかけて。歩き方や座り方がおかしい、運動を嫌がるなど痛みのサインが出ていたら、すぐに受診しましょう。
股関節形成不全の例

股関節にゆるみがあると関節の動きが制限されるため、正しい姿勢でのオスワリができなくなります。
膝蓋骨脱臼の例

ひざの皿がはずれてしまう病気です。小・中型犬に多く、症状が重いと痛みを感じます。写真のように、痛みや違和感から足を地面につけずに立っていることも。
大腿骨頭壊死症の例

股関節にある大腿骨の先が壊死する病気で、小型犬に多く見られます。痛みを伴うため、写真のように足をかばいながらヒョコヒョコ歩くことがあります。
ホットタオルで痛みをケア

お湯で濡らしてかたく絞ったタオルを、背中や腰にのせたり、ひざに当てたりして関節を温めて。寒さでこわばった関節がゆるむので、体を動かしやすくなり、病気やケガの予防に。すでに痛みが出ている場合は、その軽減にも役立ちます。
※お湯にタオルを浸すときは、やけどに注意しましょう。
※痛みがある場合は、かかりつけ医に相談のうえ実施しましょう。
痛みを感じている犬は、ふだんと違うしぐさや行動をとることがあります。日頃から愛犬の様子をよく観察し、少しでも異変があれば、すぐに受診してください。
お話を伺った先生/枝村一弥先生(日本大学動物病院院長 日本大学生物資源科学部獣医学科教授 博士(獣医学))
参考・写真/「いぬのきもち」2025年12月号『サインを見逃さないで!冬に気をつけたい犬の痛い!病気』
イラスト/イデタカコ
文/柏田ゆき
※一部写真はスマホアプリ「いぬ・ねこのきもち」で投稿されたものです。
※記事と写真に関連性がない場合もあります。